
Are you currently grappling with a slipped disc or another disc-related ailment in the Glastonbury area? If you're harboring suspicions that your persistent back pain might be stemming from a disc issue or have received a diagnosis confirming such concerns, it's crucial to seek out top-notch chiropractic care available in Glastonbury, CT.
Whether your discomfort is mild or severe, it's imperative to address it promptly to prevent any further escalation and potential permanent damage. This article delves into the symptoms associated with disc injuries, aiming to provide you with a better understanding of your condition. Additionally, it explores how chiropractic care can offer immediate relief from the pain and discomfort associated with disc injuries, along with potential long-term recovery prospects.
The intervertebral discs, situated between your vertebrae, are small pads with a resilient outer ring and a soft, gel-like center. Their primary role is to both connect and separate your vertebrae. These discs serve as cushions or shock absorbers, ensuring that your bones do not make direct contact when you move, lift heavy objects, or bend over. Without these discs, your upper torso's mobility would be severely compromised. Several types of disc injuries can make upper torso movements painful and challenging:
All the aforementioned disc issues typically lead to substantial back pain, numbness, and restricted range of motion. This is due to the irritation of the nerve roots at the injury site and its impact on the surrounding tissues. A range of distressing symptoms may arise from nerve irritation and damage, including but not limited to:
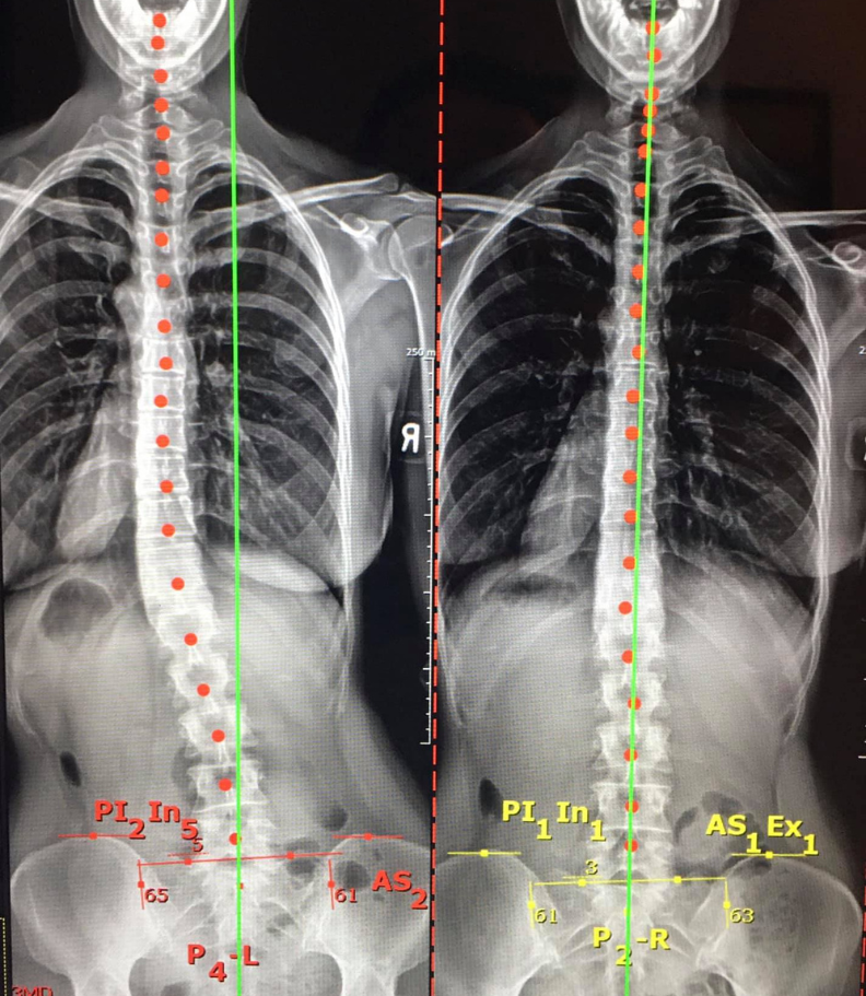
Chiropractic care for disc injuries in Glastonbury, CT has a well-established track record of delivering both immediate pain relief and the potential for long-term recovery. The treatment process involves a comprehensive evaluation of your medical history, x-rays, and a physical examination to gauge the extent of the disc injury and determine the appropriate course of action.
The treatment approach will be meticulously customized to address your unique condition and will invariably encompass gentle spinal adjustments aimed at alleviating nerve pressure and managing pain and discomfort. If you're grappling with a disc injury, don't hesitate to contact our team at Thiele Chiropractic today. Schedule a consultation and embark on the path to recovery.

39 New London Turnpike Suite 120
Glastonbury, CT 06033
